女生喜欢上同性的表现,有这3个特征的女生
女生喜欢上同性的表现,有这3个特征的女生
那些对于女生来说,初次见面会加分的小细节。
随身带纸巾,这个就不用我多说了,随身带纸巾是一个人爱干净的表现。
嘴唇水润,时刻保持双唇水润,给人的感觉也会比较清爽,一个干燥起皮的嘴唇,不仅涂口红难看,还会给人一种颓废苍白的感觉,当然也会拒男神于千里之外。

皮肤白嫩,毋庸置疑,好皮肤是女人们毕生的目标,毕竟谁也不希望,自己满脸黑头、粉刺、痘痘,皮肤糙如砂纸,毛孔大到能插秧。
可很多人就是不明白自己哪儿出了问题去皮肤科的检查结果却写得很清楚:99.86%是感染了螨虫!没错,每天在你的脸上排便6次的螨虫就是让你烂脸的罪魁祸首。

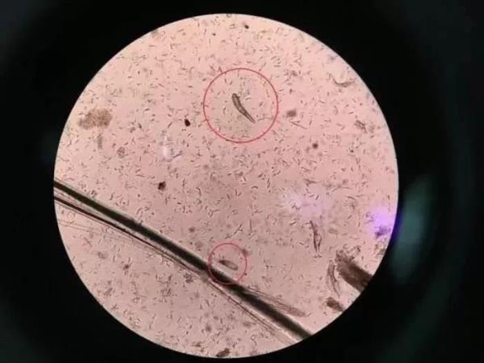
▲显微镜下毛孔中的螨虫

▲这是在高倍电子显微镜下的脸部皮肤毛孔照片。粉红色显示的就是一个螨虫的尾巴。更清晰的螨虫照片就不放了,看上去有点恶心。
螨虫生活在哪里
在我们皮肤表面居住着无数的微生物。
很不幸,螨虫也是其中之一。在几十种不同的螨虫类别中,有2种是寄居在我们皮肤上的,毛孔就是它们的家,皮肤表面就是它们的后院......

螨虫会在我们的毛孔里进进出出,一般来说,它们更喜欢夜生活,夜里会更频繁的爬到你脸上,进行社交、选择配偶、以及啪啪啪...... 最后再到毛孔里去产仔。
螨虫会导致皮肤炎症
可以这么说,绝大多数人脸上都有螨虫。相对来说,出油多的人,脸上的螨虫相应会更多。
螨虫一般不会导致皮肤问题,有时候可能会导致一些皮肤炎症或痘痘。
眼睑处的睫毛根部像是裹了一些胶状物(栓状物)一样。
高倍电子显微镜下再看,如下图

做了染色标记后, 黄色的是细细的毛发, 而蓝色的就是从毛孔中探出身子的螨虫, 有的是头部伸出来, 有的是尾部露在外面。每个毛孔里都有若干条螨虫!! 这就是螨虫引起的睑缘炎了。
如何检测螨虫
如果你怀疑自己养了太多螨虫,皮肤越来越糟糕,怎么检测出来呢?
挤刮法:医生会在你的鼻沟、颊部及颧部等皮肤看起来比较糟糕的地方,用刮刀或手挤压,将挤出来的东西涂在玻片上,然后再显微镜下找到我们的身影。优点是即刮即检,节省时间,检出率高;缺点是刮得时候可能有点痛;

透明胶带法:最好是睡觉前将透明胶带贴于鼻沟、颊部及颧部等皮肤看起来比较糟糕的地方,因为我们晚上会爬出来…第二天早晨,撕下胶带贴在载玻片上,送给医生在显微镜下检查。优点是没那么痛,皮肤损伤小;缺点是检出率低。
还能用毛巾洗脸擦脸吗
即使检测出皮肤上有螨虫, 也不要惊慌,毕竟,螨虫是我们皮肤上的常住客。
若确实引起了我们的皮肤问题,医生会给你开相应的抑螨杀螨的药物。
外面有这样的说法,用毛巾洗脸和擦干真的会不卫生,会增加面部螨虫。

这种说法是不对的,螨虫主要居住在毛孔里,是否大量繁殖,取决于毛孔周围的“食物”(油脂+皮屑)是否足够多。
要知道,毛巾上残留的皮脂、皮屑等,没有皮肤上多,因而毛巾上的螨虫是少于皮肤上的,毛巾洗脸和擦干并不会增加面部螨虫。
当然, 毛巾每天还是要洗晒的,不然会有味道。也应该做好以下几点:
每天洗脸,定期洗澡;不与满脸油和痘痘的人或者已经确诊患有毛囊虫皮炎的人皮肤长时间接触;不要乱用别人或公共洗澡具,毛巾、枕巾、被褥等;房间多通风,衣服被褥定期晾晒......
-
- 立志的名言经典短句,正能量的人生格言
-
2025-10-14 12:36:18
-
- 中国十大国粹,数数你到底知道几个
-
2025-10-14 12:34:03
-
- 山东选调生报名的基本条件(山东选调生报名时间2025)
-
2025-10-14 12:31:48
-
- 有关母亲节的祝福语,母亲节贺词句子精选
-
2025-10-14 12:29:33
-
- 一年级数学14个小故事(一年级数学14个小故事图片)
-
2025-10-14 12:27:18
-
- 盆养蚯蚓方法简单(自己养蚯蚓怎么养)
-
2025-10-14 12:25:03
-
- 2025年8月17日生肖马五行穿衣指南
-
2025-10-14 12:22:48
-
- 迅雷离线空间在哪(迅雷离线空间记录删除)
-
2025-10-14 12:20:33
-
- 奥迪a6系列全部车型及报价(奥迪a6系列车型)
-
2025-10-14 12:18:18
-
- 西凤中华梦酒老古典(西凤酒中华梦酒)
-
2025-10-14 12:16:03
-
- 北京的挂壁公路自驾游攻略
-
2025-10-14 09:24:14
-
- “活化石”澳大利亚肺鱼基因组测序完成 或揭示陆地生命进化线索
-
2025-10-14 09:21:59
-
- 同价位买海尔还是美菱冰箱(京东冰箱金榜排名)
-
2025-10-14 09:19:44
-
- “52000元现金花束给女友求婚”,交货不到1小时花店老板银行卡被冻结
-
2025-10-14 09:17:29
-
- 新西兰附近太平洋海域首次拍摄到三种会发光的鲨鱼:铠鲨、灯笼乌鲨和南方乌鲨
-
2025-10-14 09:15:14
-
- 恒顺醋业入股锅圈食品不是一个好选择
-
2025-10-14 09:12:59
-
- 拥有山川和海的你|《溺水小刀》影评
-
2025-10-14 09:10:44
-
- 喀斯特地貌的特点(喀斯特地貌地表特征)
-
2025-10-14 09:08:29
-
- 花果山景区游玩路线
-
2025-10-14 09:06:14
-
- 《闪光少女》宣发下跪致歉 回应是道歉绝非卖惨?
-
2025-10-14 09:03:59



服务商博观瑞思CEO蔡启东:让品牌在抖音电商实现品效合一_ZAKER新闻
“一个金茂府”已经不够打了
美国饮食文化习惯(美国的饮食习惯)
牌子面膜全球十大排名(最好用的10大顶级面膜品牌)
阿里职级体系(一文了解阿里腾讯)
饮料瓶突然爆炸!一男孩眼球被炸伤!真相太吓人 ......
“消失”7年臭名昭著的周立波,为自己的“狂妄自大”付出了代价
oppok1体验详细测评(全能小王子搅局中端市场)