steam无法连接到网络怎么办
steam无法连接到网络怎么办
作为全球最大的数字游戏平台之一的steam商城,平台会上新许多好游戏以及举办一些活动来回馈给大家。虽然商城目前举行的夏季活动很吸引人,但是有些的小伙伴们却出现了无法连接到网络的情况。如果你也有这样情况的话,可以看看下面的方案。

steam无法连接到网络怎么办
解决办法一:steam登录问题修复工具
登陆steam商城的时候,有可能加载不出平台的。需要借助奇游加速工具对其进行优化。如果出现无法连接到网络现象,你们可以使用奇游加速页面中steam登录问题修复工具。



解决办法二:关闭防火墙
电脑中自带的windows防火墙,以及你们下载的杀毒软件有时是会阻止商城正常运行的。所以在打开商城之前,我们需要将防火墙以及杀毒软件都给关闭掉。如果为了安全性,你们也可以将steam商城列入白名单。

解决办法三:重置网络
大家也可以试一下奇游设置页面下的重置网络工具,也是可以对网络环境进行修复的。如果你们不知道怎么操作的话,看一下下图哦。

解决办法四:检查本地网络问题
仔细检查一下家里的一些网络插线是否出现松动,可以将它们拔下来,再重新插上。并且也可以将用路由器关闭一下,过10秒再重新开启。

上面就是steam无法连接到网络怎么办的全部内容呢,这些办法你们都可以试试呢。
-
- 猪瘟的症状和预防
-
2025-06-14 23:38:44
-
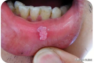
- 正常人口腔很难长尖锐湿疣吗
-
2025-06-14 23:36:27
-
- 长平的地理位置为什么也是赵国输掉长平之战的原因之一?
-
2025-06-14 23:34:11
-
- 通辽-大兴机场航班全面恢复,时刻更优,机型更大,等您体验!
-
2025-06-14 23:31:55
-
- 唐一菲也曾为戏“牺牲”, 被称作“汤唯第二”, 男主是舒淇老公
-
2025-06-14 23:29:38
-
- 哈尔滨香坊区发展前景你怎么看?
-
2025-06-11 15:28:24
-
- 夜华身为天族太子,却保护不了素素,其实是因为他低估了这两人
-
2025-06-11 15:26:06
-
- 少林武僧在网上吸引粉丝
-
2025-06-11 15:23:50
-
- 西安地铁里古桥遗址又出圈了,站台内展示众多文物,网友纷纷称赞
-
2025-06-11 06:31:52
-
- 保险公司免费救援真的免费吗?很多人不知道,这些服务不用白不用
-
2025-06-11 06:29:36
-
- 古天乐的签名能绕地球一圈,粉丝坦言,最怕他的普通话和签名
-
2025-06-11 06:27:21
-
- 魅力太大!49岁俞飞鸿素颜现身机场,被小男孩表白"想你了"
-
2025-06-11 06:25:05
-
- 中考篇|2022年安徽省中考英语真题(含听力 答案)
-
2025-06-11 06:22:49
-
- 高中物理:选择题10条必杀技!(收藏备用)
-
2025-06-11 06:20:33
-
- 古代女孩十四五岁及笄,宣告成人,为什么这么小就被打发出嫁?
-
2025-06-11 06:18:17
-
- 海贼王中龙到底是什么果实与凯多是龙有什么关系呢?
-
2025-06-11 06:16:02
-
- 漫威新剧!《天赋异禀》万磁王个女北极星极速圈粉!
-
2025-06-11 06:13:46
-
- 每日英语知识点 DAY 17:虚拟语气(5)-Wish
-
2025-06-11 06:11:31
-
- 深圳卫视《年代秀》全新一季5月6日回归
-
2025-06-11 06:09:15
-
- 武汉地铁一句播报,馋哭全国网友!为这件事真是操碎了心
-
2025-06-11 06:06:59



乔任梁被吊起来的照片(乔任梁被吊着的图片)
呼兰大侠就是杨中山呼兰大侠案真实情况
俞敏洪妻子照片(俞敏洪的婚史)
20款棒针编织帽子,非常好看又实用,织女们收藏!附10款图样
收音机十大名牌(收音机十大名牌第一名是谁)
杨子父亲(杨子父亲最新消息)
经济学家华生(经济学家华生的第一段婚姻)
4本都市YY种马文,萝莉控御姐控应有尽有,每一本后宫至少30起步
蝼蛄为什么不能踩死(蝼蛄被一脚踩死有什么说法吗)
「推文汇总」男主恋爱脑卑微舔/狗人设现言第一弹